Satellite Lesion Meaning . The term “satellite lesions” is used in many conditions in dermatology, generally to describe smaller lesions near the edges of a. Satellite lesions are nodules of tumor/melanoma located more than 0.05 mm from the primary lesion. Satellites are described as being. Satellite lesions (also called micro satellites) are areas of melanoma that are more than 0.05 mm, but less than 2cm (centimeters). It is essential to monitor. The term clinical satellite or satellite metastasis refers to tumor located no further than 5.0 cm from the primary lesion, although in transit. Also called “local metastasis.” they are small nodules of melanoma located more than 0.05mm from the primary lesion but. In melanoma, satellite tumors occur. Lesions occurring within 2 cm of the primary tumor are classified as satellite metastases.
from bjo.bmj.com
The term “satellite lesions” is used in many conditions in dermatology, generally to describe smaller lesions near the edges of a. Satellite lesions are nodules of tumor/melanoma located more than 0.05 mm from the primary lesion. Satellites are described as being. The term clinical satellite or satellite metastasis refers to tumor located no further than 5.0 cm from the primary lesion, although in transit. Also called “local metastasis.” they are small nodules of melanoma located more than 0.05mm from the primary lesion but. In melanoma, satellite tumors occur. Satellite lesions (also called micro satellites) are areas of melanoma that are more than 0.05 mm, but less than 2cm (centimeters). Lesions occurring within 2 cm of the primary tumor are classified as satellite metastases. It is essential to monitor.
Pseudomonas keratitis with satellite lesions an unusual presentation
Satellite Lesion Meaning The term “satellite lesions” is used in many conditions in dermatology, generally to describe smaller lesions near the edges of a. Satellite lesions (also called micro satellites) are areas of melanoma that are more than 0.05 mm, but less than 2cm (centimeters). The term clinical satellite or satellite metastasis refers to tumor located no further than 5.0 cm from the primary lesion, although in transit. It is essential to monitor. Also called “local metastasis.” they are small nodules of melanoma located more than 0.05mm from the primary lesion but. Satellites are described as being. The term “satellite lesions” is used in many conditions in dermatology, generally to describe smaller lesions near the edges of a. Lesions occurring within 2 cm of the primary tumor are classified as satellite metastases. In melanoma, satellite tumors occur. Satellite lesions are nodules of tumor/melanoma located more than 0.05 mm from the primary lesion.
From www.spandidos-publications.com
Discrimination of malignant and benign breast masses using automatic Satellite Lesion Meaning The term clinical satellite or satellite metastasis refers to tumor located no further than 5.0 cm from the primary lesion, although in transit. Also called “local metastasis.” they are small nodules of melanoma located more than 0.05mm from the primary lesion but. Lesions occurring within 2 cm of the primary tumor are classified as satellite metastases. In melanoma, satellite tumors. Satellite Lesion Meaning.
From bjo.bmj.com
Pseudomonas keratitis with satellite lesions an unusual presentation Satellite Lesion Meaning Also called “local metastasis.” they are small nodules of melanoma located more than 0.05mm from the primary lesion but. The term “satellite lesions” is used in many conditions in dermatology, generally to describe smaller lesions near the edges of a. Satellites are described as being. It is essential to monitor. Satellite lesions are nodules of tumor/melanoma located more than 0.05. Satellite Lesion Meaning.
From www.cehjournal.org
Community Eye Health Journal » Distinguishing fungal and bacterial Satellite Lesion Meaning Also called “local metastasis.” they are small nodules of melanoma located more than 0.05mm from the primary lesion but. Lesions occurring within 2 cm of the primary tumor are classified as satellite metastases. The term clinical satellite or satellite metastasis refers to tumor located no further than 5.0 cm from the primary lesion, although in transit. Satellites are described as. Satellite Lesion Meaning.
From www.youtube.com
What are Satellite Lesions YouTube Satellite Lesion Meaning In melanoma, satellite tumors occur. Lesions occurring within 2 cm of the primary tumor are classified as satellite metastases. The term clinical satellite or satellite metastasis refers to tumor located no further than 5.0 cm from the primary lesion, although in transit. Satellite lesions are nodules of tumor/melanoma located more than 0.05 mm from the primary lesion. Satellites are described. Satellite Lesion Meaning.
From www.researchgate.net
(PDF) Target Lesions Satellite Lesion Meaning Lesions occurring within 2 cm of the primary tumor are classified as satellite metastases. The term clinical satellite or satellite metastasis refers to tumor located no further than 5.0 cm from the primary lesion, although in transit. Satellite lesions (also called micro satellites) are areas of melanoma that are more than 0.05 mm, but less than 2cm (centimeters). The term. Satellite Lesion Meaning.
From www.researchgate.net
The left column presents the lesion border estimated by kmeans Satellite Lesion Meaning The term “satellite lesions” is used in many conditions in dermatology, generally to describe smaller lesions near the edges of a. It is essential to monitor. Satellite lesions are nodules of tumor/melanoma located more than 0.05 mm from the primary lesion. The term clinical satellite or satellite metastasis refers to tumor located no further than 5.0 cm from the primary. Satellite Lesion Meaning.
From www.pinterest.jp
Pin on Med notes Satellite Lesion Meaning Lesions occurring within 2 cm of the primary tumor are classified as satellite metastases. Satellites are described as being. Also called “local metastasis.” they are small nodules of melanoma located more than 0.05mm from the primary lesion but. It is essential to monitor. In melanoma, satellite tumors occur. Satellite lesions are nodules of tumor/melanoma located more than 0.05 mm from. Satellite Lesion Meaning.
From www.aiophotoz.com
Describing Skin Lesions Dermatology Images and Photos finder Satellite Lesion Meaning In melanoma, satellite tumors occur. Lesions occurring within 2 cm of the primary tumor are classified as satellite metastases. Satellite lesions (also called micro satellites) are areas of melanoma that are more than 0.05 mm, but less than 2cm (centimeters). Satellites are described as being. Also called “local metastasis.” they are small nodules of melanoma located more than 0.05mm from. Satellite Lesion Meaning.
From medtests.blogspot.com
Clinical Presentation of Fungal Keratitis Tuyenlab Satellite Lesion Meaning The term clinical satellite or satellite metastasis refers to tumor located no further than 5.0 cm from the primary lesion, although in transit. Lesions occurring within 2 cm of the primary tumor are classified as satellite metastases. It is essential to monitor. In melanoma, satellite tumors occur. Satellite lesions (also called micro satellites) are areas of melanoma that are more. Satellite Lesion Meaning.
From www.semanticscholar.org
Figure 17 from Superficial breast lesions. A comprehensive review of Satellite Lesion Meaning Satellite lesions (also called micro satellites) are areas of melanoma that are more than 0.05 mm, but less than 2cm (centimeters). The term “satellite lesions” is used in many conditions in dermatology, generally to describe smaller lesions near the edges of a. In melanoma, satellite tumors occur. The term clinical satellite or satellite metastasis refers to tumor located no further. Satellite Lesion Meaning.
From www.researchgate.net
Chest CT revealing thickwalled cavitary lesion with satellite nodules Satellite Lesion Meaning The term clinical satellite or satellite metastasis refers to tumor located no further than 5.0 cm from the primary lesion, although in transit. Satellite lesions are nodules of tumor/melanoma located more than 0.05 mm from the primary lesion. The term “satellite lesions” is used in many conditions in dermatology, generally to describe smaller lesions near the edges of a. Satellites. Satellite Lesion Meaning.
From www.slideserve.com
PPT Smallpox Vaccine Adverse Events Public Health Guidance for Satellite Lesion Meaning Satellite lesions are nodules of tumor/melanoma located more than 0.05 mm from the primary lesion. In melanoma, satellite tumors occur. It is essential to monitor. Lesions occurring within 2 cm of the primary tumor are classified as satellite metastases. Also called “local metastasis.” they are small nodules of melanoma located more than 0.05mm from the primary lesion but. Satellite lesions. Satellite Lesion Meaning.
From ahmaduin.blogspot.com
Melanoma Satellite Lesions Satellite Lesion Meaning It is essential to monitor. Lesions occurring within 2 cm of the primary tumor are classified as satellite metastases. Also called “local metastasis.” they are small nodules of melanoma located more than 0.05mm from the primary lesion but. Satellite lesions (also called micro satellites) are areas of melanoma that are more than 0.05 mm, but less than 2cm (centimeters). The. Satellite Lesion Meaning.
From jamanetwork.com
Multimodal Imaging in PPM Ophthalmic Imaging JAMA Ophthalmology Satellite Lesion Meaning In melanoma, satellite tumors occur. Satellite lesions (also called micro satellites) are areas of melanoma that are more than 0.05 mm, but less than 2cm (centimeters). Satellites are described as being. It is essential to monitor. The term clinical satellite or satellite metastasis refers to tumor located no further than 5.0 cm from the primary lesion, although in transit. The. Satellite Lesion Meaning.
From eyerounds.org
Atlas Entry Corneal Satellite Infiltrate Satellite Lesion Meaning Lesions occurring within 2 cm of the primary tumor are classified as satellite metastases. The term clinical satellite or satellite metastasis refers to tumor located no further than 5.0 cm from the primary lesion, although in transit. The term “satellite lesions” is used in many conditions in dermatology, generally to describe smaller lesions near the edges of a. Satellite lesions. Satellite Lesion Meaning.
From www.cureus.com
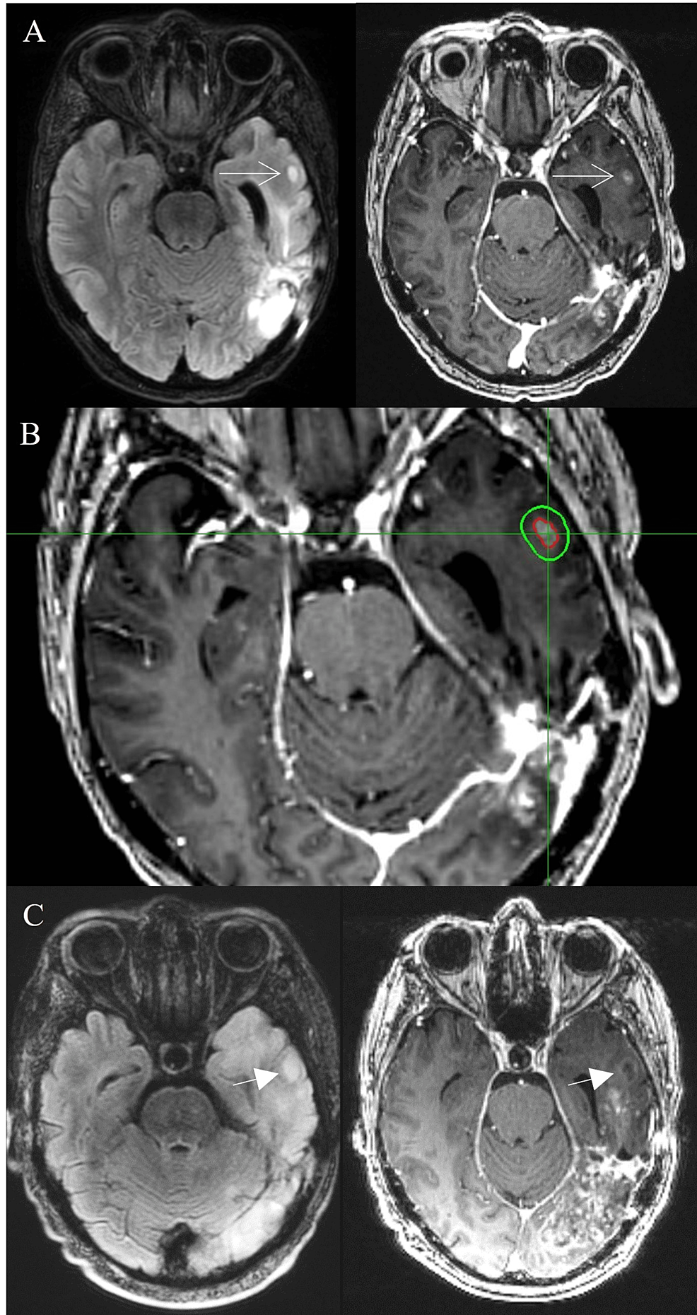
Cureus Stereotactic Radiosurgery for ContrastEnhancing Satellite Satellite Lesion Meaning The term clinical satellite or satellite metastasis refers to tumor located no further than 5.0 cm from the primary lesion, although in transit. In melanoma, satellite tumors occur. The term “satellite lesions” is used in many conditions in dermatology, generally to describe smaller lesions near the edges of a. Lesions occurring within 2 cm of the primary tumor are classified. Satellite Lesion Meaning.
From www.researchgate.net
(a) Clinical image showing 1.2 cm X 0.8 cm nodular lesion with few Satellite Lesion Meaning Satellites are described as being. The term clinical satellite or satellite metastasis refers to tumor located no further than 5.0 cm from the primary lesion, although in transit. Satellite lesions (also called micro satellites) are areas of melanoma that are more than 0.05 mm, but less than 2cm (centimeters). In melanoma, satellite tumors occur. It is essential to monitor. The. Satellite Lesion Meaning.
From www.lecturio.com
Generalized and Localized Rashes Concise Medical Knowledge Satellite Lesion Meaning It is essential to monitor. Lesions occurring within 2 cm of the primary tumor are classified as satellite metastases. In melanoma, satellite tumors occur. Satellite lesions (also called micro satellites) are areas of melanoma that are more than 0.05 mm, but less than 2cm (centimeters). The term “satellite lesions” is used in many conditions in dermatology, generally to describe smaller. Satellite Lesion Meaning.